Non-Gynecological Cytology

    Panther Fusion Flu A/B/RSV Assay box image

      Overview

      Documents

      Training

      Simplified Processing.

      Streamlined Review.

      The ThinPrep® non-gynecological portfolio delivers high quality liquid-based cytology slides, with the uniform presentation and enhanced cellular detail required for accurate and efficient review.

       

      Reliable Results

      • ThinPrep® solutions enable optimal preservation and presentation for confident results
      • An increase in sensitivity and specificity was found compared to conventional methods1
      • Studies show a reduction in unsatisfactory cases compared to conventional methods2

      Workflow Benefits

      • One representative slide per case improves screening efficiency, saves storage space and reduces filing time
      • Process GYN, Non-GYN, and UroCyte® samples from the same ThinPrep® processor
      • Residual material provides a reproducible sample for use in ancillary testing

      User Experience

      • Smart automation reduces touch points and manual steps in slide preparation
      • Less slides to review reduces time and energy, allowing cytologists and pathologists to focus on other tasks
      • ThinPrep® technology offers a standardized and consistent process for all specimen types

      Get started today with our ThinPrep® non-GYN consumables.

        Medical solution on white background

        Enables optimal cellular preservation. ThinPrep® PreservCyt® solution is trusted by laboratories worldwide for maintaining specimen integrity and allowing for enhanced nuclear detail.

        Medical solution on white background

        Standardizes urine collection for cytology and FISH testing. ThinPrep® UroCyte® PreservCyt® solution maintains specimen integrity. Also available in ThinPrep® UroCyte® Lab Validation and ThinPrep® UroCyte® Urine Collection kits.

        Medical solution on white background

        Preserves cell morphology and reduces obscuring materials. ThinPrep® CytoLyt® solution lyses red blood cells, dissolves mucus, and prevents protein precipitation for a cleaner slide and clearer review.

        Medical solution on white background

        Leverages thin-layer technology to produce an evenly distributed layer of cells. ThinPrep® Non Gynecological filters allow for controlled cell collection and transfer of non-gyn specimens. The ThinPrep® UroCyte® filter is uniquely equipped with a 10mm diameter filter area.

        Medical solution on white background

        Provides a clean surface for cell transfer within a defined area. Labs can choose between ThinPrep® Non Gynecological and ThinPrep® Arcless microscope slides depending on their needs. For urine specimens, ThinPrep® UroCyte® microscope slides contain a 16mm deposition area to optimize reagent use.

        The ThinPrep® workflow creates one representative slide per case

        Cell Dispersion

        1. Cell Dispersion

         

        The sample vial is rotated, separating debris and dispersing mucus gently enough to have no adverse effect on cell appearance.

        Cell collection in a vial

        2. Cell Collection

         

        A vacuum is created within the filter, collecting cells on the surface of the membrane. Collection is controlled by the processor’s software, as it monitors the rate of flow through the filter.

        Cell transfer

        3. Cell Transfer

         

        The filter is inverted and gently pressed against the glass slide. Natural attraction and slight positive air pressure cause the cells to adhere to the slide, resulting in even cell distribution within the defined area.

        Clear Results Image

        4. Clear Results

         

        The resulting slide provides a clear representation of sample cells, free from obscuring elements for ease of visualization.

        Bringing confidence and simplicity to cytology processing

        Process GYN and Non-GYN samples on the same instrument. ThinPrep® processors are fully automated at every size, providing flexibility and efficiency to laboratories of all volumes.

        Cytology instruments

        A Clear View to Diagnostic Clarity

        ThinPrep® technology provides clear cellular detail, regardless of specimen type.

        fine needle aspirations

        Fine Needle Aspirates

        Thyroid, Lung, Lymph Node, Breast, Liver

        Body fluids

        Body Fluids

        Urine, Pleural Fluid, Ascitic Fluid, Pericardial Fluid, Cerebrospinal Fluid (CSF)

        Mucoid

        Mucoid

        Bronchial Brush, Bronchial Wash, Bronchoalveolar Lavage, Sputum, Bile Duct Brush

        Access the ThinPrep® Non-GYN Atlas and other educational resources at CytologyStuff.com

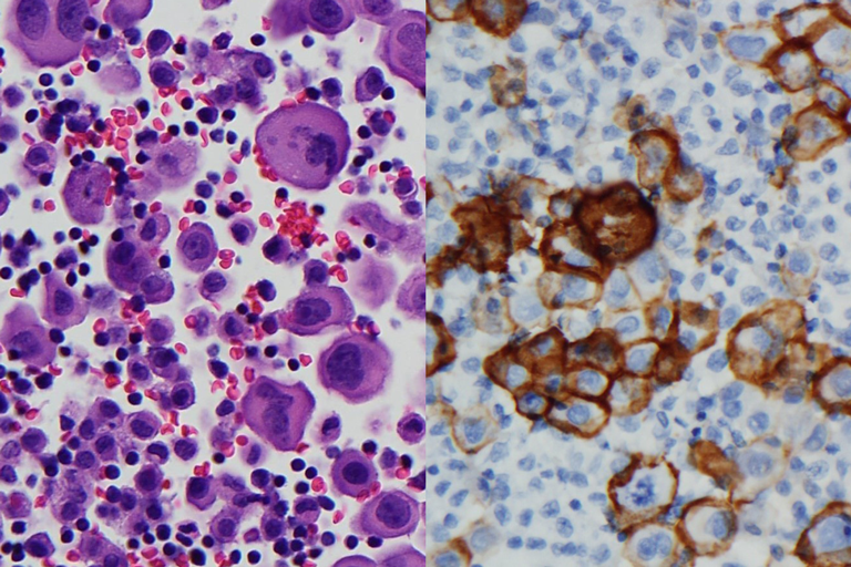
        Residual material for ancillary testing
        Pleural fluid mesothelioma cell block H&E
        Pleural fluid mesothelioma cell block D2-40 Positive IHC
         

        Residual material for ancillary testing

        • Cell Blocks
        • Special Staining
        • Immunocytochemistry
        • In Situ Hybridization
        • DNA Ploidy Analysis
          References:
          1. Lee KR, et al: Evaluation of the ThinPrep Processor for Fine Needle Aspiration Specimen, Acta Cytol, 1996, Vol. 40(5):895-899 2. Fischler, DF, et al: Nongynecological Cytology Utilizing the ThinPrep Processor, Acta Cytol, 1996, Vol. 40:669-675 

          Safety Data Sheets

          Package Inserts

          Aptima® HPV +ThinPrep® Cervical Health

          Photo of Aptima Assay products sitting on white table in a lab setting.

            Overview

            Package Inserts

            Leading the charge in cervical disease prevention with the ThinPrep system and Aptima HPV assays

            Hologic has remained an unwavering advocate for women’s health for more than two decades. Our goals as a company are intrinsically tied to changes in best-practices for women’s health, applying the latest findings in diagnostic medicine to the development of new products and technologies in response to the emergence of new discoveries in medicine.

            Cervical disease screening is an essential component of our efforts in women’s health. Hologic is the leader in Pap and human papillomavirus (HPV) testing. The ThinPrep Pap test helps healthcare providers detect the presence of abnormal cervical cells, and the Aptima HPV assays identify high-risk HPV mRNA that is indicative of the HPV infections most likely to lead to cervical disease.1-3

              Today, screening with Pap+HPV Together (co-testing) provides the best possible protection against cervical cancer for women ages 30-65.4-6 Now, what was once a top cancer among women is up to 93% preventable.7

              The introduction of the Pap smear and, later the ThinPrep Pap test, have contributed to a decline in cervical cancer rates of more than 60% since the 1950s.1,8 Since then, HPV has been identified as a cause of cervical cancer, and HPV testing and vaccinations have been developed.9

              These medical triumphs have fortified the medical community’s ability to detect and prevent cervical disease and cancer. Today, the combination of data-supported guidelines for cervical cancer screening and the availability of HPV vaccination are key in the fight for women’s health.

              Hologic released the first liquid-based cytology option in cervical disease screening in 1996: the ThinPrep Pap test.1 Today, more than 20 years after the release of the ThinPrep Pap test, it remains the preferred choice in Pap testing in the United States.10 ThinPrep Pap tests account for more than 80% of Pap tests performed in the United States, with 650 million tests performed globally so far.10

              More than 170 scientific studies involving the ThinPrep Pap test have demonstrated its benefits, including increased disease detection, reduction of equivocal diagnoses, improved specimen adequacy, adjunctive molecular testing and morphology assessment.11

              The College of American Pathologists reported increased HSIL (high-grade squamous intraepithelial lesions) and LSIL (low-grade squamous intraepithelial lesions) in labs using LBC versus labs that utilized conventional Pap testing.12 It also showed increased sensitivity for cervical adenocarcinoma over conventional Pap testing.13

              The Aptima HPV assay and Aptima HPV 16 18/45 genotype assay target HPV types that pose the largest threat to women.2,3 While other HPV assays target DNA, the Aptima HPV assays target mRNA, which studies show reflects the presence and activity of high-risk HPV infection.2,3 The Aptima HPV assay detects E6/E7 mRNA, which is indicative of those HPV infections more likely to cause cervical disease.2 The Aptima HPV 16 18/45 genotype assay identifies HPV types 16, 18 and 45, which are associated with up to 80% of all invasive cervical cancers worldwide.3,14-15

              Screening women with Aptima HPV assays helps providers optimize care for each patient.

              The ThinPrep Pap test is just one of several offerings in the ThinPrep system. The ThinPrep processors, imagers and review scopes help improve workflow in laboratories and assist with cytotechnologists’ ability to identify abnormalities. These instruments help complete the ThinPrep system and maximize laboratory efficiency and accuracy in disease detection.

              In addition to the ThinPrep Pap test, Hologic remains committed to providing laboratories with innovative and effective cytology solutions for non-gynecological testing needs.

              Processors

              ThinPrep Genesis Processor

              The next-generation in single sample processing, but with ergonomic, chain of custody benefits and aliquoting capabilities

              Photo of ThinPrep Genesis Processor with white background.

              ThinPrep 5000 Processor

              Offers fully automated, small-batch processing and provides operators flexibility, along with walkaway time

              Photo of ThinPrep 5000 Processor on white background.

              ThinPrep 5000 Autoloader

              Maximizes laboratory efficiency with fully automated, large-batch processing with automatic slide patient ID etching

              Photo of ThinPrep 5000 Autoloader on white background.

              Imagers and Review Scopes

                Combines the power of ThinPrep imaging and manual microscope review in a single desktop system, with slides imaged and ready for review in approximately 90 seconds.

                Identifies 22 areas of interest within the ThinPrep Pap test slides with the largest, darkest nuclei for cytotechnologists to examine.

                Same trusted algorithm as the ThinPrep image processor, but with a faster camera, expanded label-reading formats and on-demand imaging.

                Presents the 22 fields of view to the cytotechnologist for their review.

                Combines the power of the review scope with the flexibility of a manual microscope.

                Stainers

                Now Available Compass Stainer: Adds flexibility to both routine and special staining procedures. Comes programmed with the ThinPrep Stain Protocol for customer convenience.

                From Pap and HPV testing to our full range of diagnostic products and cross-divisional innovations like the Genius™ 3D Mammography exam for breast health, Hologic delivers for women. Our promise to offer innovative products to meet the needs of women globally persists throughout all that we do, including in cervical disease screening. Working together, we can achieve the goal of defeating cervical disease.

                Find Support

                All Other Requests

                References:
                1.
                 ThinPrep 2000 Processor [instructions for use]. MAN-02624-001, Rev. 005. Marlborough, MA: Hologic, Inc.; 2017.  2. Aptima HPV assay [package insert]. AW-12820-001, Rev. 001. San Diego, CA: Hologic, Inc.; 2015.  3. Aptima HPV Genotype 16 18/45 assay [package insert]. AW-12821-001, Rev. 001. San Diego, CA: Hologic, Inc.; 2015.  4. Blatt AJ, et al. Comparison of cervical cancer screening results among 256,648 women in multiple clinical practices. Cancer Cytopathol. 2015;123(5):282-288 [Study included ThinPrep®, SurePath®, Hybrid Capture® 2 assay].  5. Saslow D, Solomon D, Lawson HW, et al. American Cancer Society, American Society for Colposcopy and Cervical Pathology, and American Society for Clinical Pathology screening guidelines for the prevention and early detection of cervical cancer. CA Cancer J Clin. 2012; 62(3):147-172.  6. The American College of Obstetricians and Gynecologists. Practice Bulletin 168: Screening for cervical cancer. Obstet Gynecol. 2016;128(4):3111-30. doi:10.1097/ AOG.0000000000001708.  7. Centers for Disease Control and Prevention. Cervical Cancer is Preventable. https://www.cdc.gov/vitalsigns/cervical-cancer/index.html. Updated November 5, 2014. Accessed November 29, 2017.  8. National Cancer Institute. SEER Stat Fact Sheets: Cervix Uteri Cancer. http://seer.cancer.gov/statfacts/html/cervix.html. Published 2016. Accessed December 4, 2017.  9. National Institutes of Health. NIH Fact Sheets: Cervical Cancer.  http://report.nih.gov/nihfactsheets/viewfactsheet.aspx?csid=76. Updated March 29, 2013. Accessed November 29, 2017.  10. Hologic, Inc. Data on File.  11. Hologic, Inc. View Published Data: Direct-to-Vial Studies. https://healthdxs.com/en/view-published-data/. Accessed November 29, 2017.  12. Eversole GM, et al. Practices of participants in the College of American Pathologists interlaboratory comparison program in cervicovaginal cytology, 2006. Arch Pathol Lab Med. 2010;134(3):331-5. doi:10.1043/1543-2165-134.3.331.  13. Adegoke O, et al. Cervical cancer Trends in the United States: A 35-Year Population-Based Analysis. J Women Health. 2012;21(10):1031-1037.  14. Li N, et al. Human papillomavirus type distribution in 30,848 invasive cervical cancers worldwide: Variation by geographical region, histological type and year of publication. Int J Cancer. 128:927-935. doi:10.1002/ijc.25396.  15. De Sanjose S, et al. 2010. Human papillomavirus genotype attribution in invasive cervical cancer: a retrospective cross-sectional worldwide study. Lancet. doi:10.1016/S1470-2045(10)70230-8.