How AI is Revolutionizing Breast Cancer Detection and Saving More Lives

Technician administering exam with AI information to patient using 3dimensions

Newly published clinical review shows how AI-driven technology can help physicians spot suspicious breast lesions and flag high-priority cases.

Breast cancer has a high five-year survival rate — about 99% — when caught early.1 While regular mammography screenings remain instrumental in detecting breast cancer when it’s the most treatable, the use of artificial intelligence (AI) to interpret the results of these tests is rapidly becoming an important tool for physicians in the fight against the disease.

The widespread adoption of 3D mammograms — imaging tests that combine multiple X-ray “slices” to create a three-dimensional picture of the breast — has dramatically changed breast cancer detection in recent years. Compared with traditional 2D mammography, these tests allow radiologists to see more image details, leading to more accurate cancer detection and fewer calls to anxious patients who come back for additional testing — only to learn it’s a false alarm.2

As another step forward in the breast cancer fight, a recently published clinical review published in the European Journal of Medical Case Reports shows how AI technologies, such as Hologic’s Genius AI® Detection solution, may help identify suspicious areas on breast images with even greater accuracy and efficiency.3

To spot potentially cancerous regions, the Genius AI Detection software looks at each “slice” of 3D mammographic view and analyzes it with a model trained using a large data set of biopsy-confirmed cancerous lesions. The software then assigns a lesion score to each suspicious location. Taking all the scores together, it creates an overall “case score” that reflects the potential that breast cancer is present. For example, a case score between 51% and 75% has a 1 in 61 likelihood of cancer, while a case score between 76% and 100% has a 1 in 27 likelihood.

The Genius AI Detection solution also has a Reading Priority Indicator that flags cases of heightened concern for immediate review by a radiologist.

A challenging case

When a 42-year-old woman visited her doctor for a routine mammogram screening, there was no reason to suspect breast cancer. Although she had no family history of the disease, the Genius AI Detection solution assigned her results a high-priority case score of 87%. A pathology report later revealed invasive lobular carcinoma, a cancer that can be challenging to detect on mammography, especially in its early stages. The cancer begins in the milk-producing glands of the breast and can spread to lymph nodes and other parts of the body. For this patient, AI played a crucial role in arriving at a timely diagnosis of breast cancer.

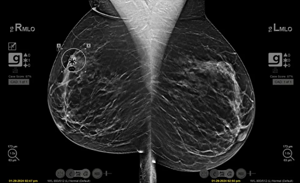
X-ray image
X-ray image
As published in the clinical review, the left image view shows no abnormalities bilaterally, while the right image reveals an area of concern marked by the Genius AI Detection, with a case score of 87% and flagged as high priority.

An early DCIS diagnosis

A 41-year-old woman had a baseline mammogram that revealed she had dense breasts, which can make it more difficult to see areas of concern in mammography images. The woman, whose grandmother was diagnosed with breast cancer at 72, received a call that further imaging was needed after her initial screening.

AI technology helped the woman’s doctor quickly identify multiple suspicious lesions and assigned an overall case score of 85%, signaling that there was a relatively high likelihood of cancer. The results were flagged as high priority, and a biopsy confirmed ductal carcinoma in situ (DCIS), a very early form of breast cancer where the cancer cells are confined inside a milk duct. DCIS hasn’t yet spread into the breast tissue and has a low risk of becoming life-threatening when caught early.

Unlocking a wealth of possibilities

With breast cancer, early detection is critical. For these patients and many like them, AI helped identify areas of concern and brought them to radiologists’ attention for further review, leading to faster diagnoses. The human perspective will always be at the heart of breast cancer diagnosis and care; however, AI could help find even the subtlest signs of cancer and quickly flag them for busy healthcare providers, leading to earlier treatment and more lives saved.

“AI technology has been a game changer for my practice,” said Dr. Terri-Ann Gizienski, MD, MPH, Chief of the Clinical Breast Imaging Division at the University of Pittsburgh Medical Center (UPMC), who co-authored the clinical review. “Paired with the benefits we’ve seen with 3D mammography, the ability to look at high volumes of data and prioritize cases with a high likelihood of cancer through AI has the potential to significantly impact patient care.”

    1. Survival rates for breast cancer. American Cancer Society. (n.d.)  https://www.cancer.org/cancer/types/breast-cancer/understanding-a-breast-cancer-diagnosis/breast-cancer-survival-rates.html 2. Bernardi D, Macaskill P, Pellegrini M, et. al. Breast cancer screening with tomosynthesis (3D mammography) with acquired or synthetic 2D mammography compared with 2D mammography alone (STORM-2): a population-based prospective study. Lancet Oncol. 2016 Aug;17(8):1105-13. 3. Singh et al. Innovations in breast cancer detection: analyzing three clinical case reports to assess the Genius AITM Detection Solution. EJMCR. 2024;8((8):185-191.
    MISC-10311 Rev.001 (2024). Hologic and Genius AI® are trademarks and/or registered trademarks of Hologic, Inc., and/or its subsidiaries in the United States and/or other countries. The content in this piece is for information purposes only and is not intended to be medical advice. Results may vary depending on your particular health conditions. Please contact your medical professional for specific advice regarding your health and treatment. This information is not intended as a product solicitation or promotion where such activities are prohibited. Because Hologic materials are distributed through websites, eBroadcasts and tradeshows, it is not always possible to control where such materials appear. For specific information on what products may be available in a particular country, please write to womenshealth@hologic.com. Dr. Terri-Ann Gizienski is a paid Hologic consultant. Views and opinions expressed herein by third parties are theirs alone and do not necessarily reflect those of Hologic.